2017年6月末に60歳で定年退職し、自作キャンピングカー青の1号(後2号)で旅に出ました。
◇ブログ第一話はこちらです。
<第1弾>日本一周混浴温泉の旅(2017年8月~2018年9月)

◇混浴旅の第一話はこちらです。
<第2弾>日本一周海岸線の旅(2018年9月~2019年5月)

◇海岸線の旅の第一話はこちらです。
病院の5階からの札幌手稲山方面の夕景です。

昨日退院できると思い、昼から荷物をまとめて準備していたのですが
・・・
退院できず。
結局ミャンマー戦は病室で観ることになってしまいました。
とほほ。
病院の消灯が21:00なのでテレビをつけるわけにもいかず、ベッドの中にもぐりこんで、タブレットで家のテレビをwifiで観ていました。

ミャンマーごときに0-2とは情けないぞ、怒
・・・
という方もいらっしゃるかと思いますが、これはワールドカップ予選。
敵地で勝ち点3をゲットできればいいのです。
まあ欲を言えば、
・・・
大迫。
マークが厳しいためか、かなり下がってボールを受けてたり、
絶好のフリーのチャンスにパスを選択したりと、
代表のCFとしては、らしくないのではないかと。
ミャンマーごときのマークなんぞ、どかんと跳ね返さんかい。
終了近くのドフリーのヘッドの場面では、病室にもかかわらず思わず
打たんかーい!
と叫んでしまいました。
50年前の・・・メキシコ五輪予選のアウエーでのフィリピン戦で0-15で勝った時に、釜本がダブルハット(6点)を決めたのですが、その時相手チームの選手には
釜本が鬼に見えた
そうですが、
大迫も鬼神のようなストライカーになってほしいものです。
さて、9月1日の夜に救急車で運ばれてすぐに撮った脳のMRIの写真がこれです
・・・
い、いや。
やっぱ待って下さい。
ちょっと怖いですね、自分の脳をお見せするというのは。
考えてることが見透かれそうで
・・・
そんなことがあるわきゃねーだろ!
・・・
ですよね。
では、どりゃ。

いやん
・・・
んなことはありません、きっぱり。
こっちですね。

翌朝先生に呼ばれ、こう言われたのです。
何ともないようなので、このまま退院してもいいかと思ったのですが
と。
なんかはっきりとしない言い方です。
そして、続いてこう言うのです。
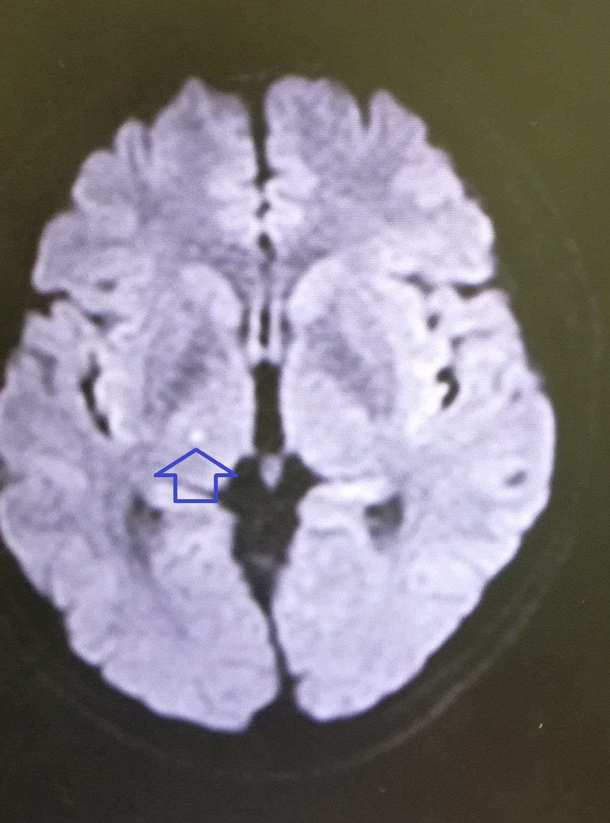
おそらく十中八、九僕の思い違いだと思うのですが、ほんのわずかですが薄く白くなっている箇所があるのです(上の写真のマウスのところ)。
もしよろしければ、もう一晩泊まって明日もう一度MRIを撮らせていただけませんか。
と。
脳梗塞では発生したすぐにはMRIに写らないことが、ごくたまにあるようなのです。
そして、翌朝MRIを撮り、再び先生に呼ばれて部屋に入るなりこう言われたのです。
いやあ、よかったです。やはり写ってました。
↑写ってない方がよかったのでは・・・という解釈もある。
と。
その写真がこれです。

ね、同じ個所がはっきりと白く写ってるでしょ。
ここが血管が詰まった個所になります。
もし、あのまま退院して帰って何の処置もせずに今までの生活を続けていたら再び発症していたかもしれなかったのです。
えらいぞ、先生!
やはり諦めたら試合はそこで終了なのです
・・・
↑違うぞ。
そして、昨日撮った写真がこれです。

・・・
その場所の白い点は消えて(詰まった個所が治ったわけではないようです)ほかにも脳梗塞らしきところはないようです。
ということで、昨日は夕方になってしまい退院できませんでしたが、
・・・
今日午前中に退院です。
みなさま。
いろいろと励ましやアドバイスのお言葉ありがとうございました。
みなさまから頂戴した貴重なアドバイスを参考に、
これからも、より一層フライパン料理に磨きをかけ
・・・
酢と良質なオリーブオイルをたっぷり使った脳梗塞に強いフライパンメニューを開発していこうと思っています。
今後とも何卒よろしくお願い致します。
<追記>
aomori.nさん。
早く治して下さい。
今度函館に行った時には必ず寄りますのでお酒を飲みましょう。
⇓どれか一つだけクリックいただくとうれしいです。
車中泊の旅ランキング
日本一周ランキング
キャンピングカーランキング
↑いつもありがとうございます。
↓さらにこちらもクリックしていただくとうれしさ100倍です。
一人旅ランキング

退院おめでとうございます♪
いやあ入院も見事なネタにしてしまう見上げたプロ根性流石です
退院おめでとう!
とにかく食生活に気を付けて一杯お酒を飲みましょう。
近々近所で一杯やりましょう!
退院おめでとうございます
次の目標は旅禁止令の解除ですね
頑張ってください
フライパン料理に青魚を加えてみては如何でしょうか?
私は3日~4日に一回サバの塩焼きや味噌煮を食べるようにしています
退院おめでとうございます、食生活の改善と休肝日の設定と運動不足の解消にはヴォクシーがゆく、ヴォクシーがゆくで学習してください…それではお大事に。
むーちんさん、退院おめでとうございます。私がしょうもないコメントを書いている間にはすでに退院され、新しい更新があったようで。何はともあれ良かったです。
明日?
私は明後日に残りの煙突掃除をして1週間後の予定です。
その間に大沼を通過しないでね!
まずはおめでとうございます。
退院おめでとうございます
しばらくは
おとなしくしてくださいよ
退院おめでとうございます。
これからも◯◯な日本一週、楽しみにしています。
前にも提案させて頂きましてが、J1.2.3リーグ,
ホームタウンを巡り、また試合観戦もする日本一週どないでしょうか?
退院おめでとうございます!
同じ年代なので、ほんとうに心配しました。
脳には、いろいろ詰まっていて
MRIで秘密がばれてしまうのですか・・・
また、楽しみにしてます。お大事に!
ボンジョルノ号